Niewydolność oddechowa to poważny stan medyczny, w którym organizm nie jest w stanie prawidłowo przyjmować tlenu i usuwać dwutlenku węgla. Dotyka ona układu oddechowego i może mieć przebieg ostry lub przewlekły. Stan ten wymaga szybkiej interwencji medycznej, gdyż bezpośrednio zagraża życiu pacjenta.
W medycynie wyróżniamy cztery główne typy niewydolności oddechowej. Każdy z nich ma inne podłoże i wymaga odmiennego podejścia terapeutycznego. Najgroźniejszą formą jest ostra niewydolność oddechowa (ARDS), która rozwija się nagle i wymaga natychmiastowego leczenia.
Najważniejsze informacje:- Niewydolność oddechowa może być ostra lub przewlekła
- Występują cztery główne typy schorzenia, różniące się mechanizmem powstawania
- Stan wymaga natychmiastowej pomocy medycznej
- Główne objawy to duszność i problemy z oddychaniem
- ARDS jest najpoważniejszą formą niewydolności oddechowej
- Choroba może być wywołana przez różne czynniki, w tym infekcje i urazy
- Diagnoza opiera się na badaniach gazometrycznych krwi
Kody ICD-10 dla niewydolności oddechowej
Niewydolność oddechowa w klasyfikacji ICD-10 posiada trzy główne kody diagnostyczne. Każdy z nich odpowiada innemu typowi schorzenia, co ułatwia precyzyjną diagnostykę i dokumentację medyczną.
| Kod ICD-10 | Nazwa schorzenia | Krótki opis |
|---|---|---|
| J96.0 | Ostra niewydolność oddechowa | Nagłe pogorszenie funkcji oddechowych, wymaga natychmiastowej interwencji |
| J96.1 | Przewlekła niewydolność oddechowa | Długotrwałe zaburzenie wymiany gazowej, rozwija się stopniowo |
| J96.9 | Niewydolność oddechowa, nieokreślona | Przypadki bez jednoznacznego określenia typu niewydolności |
Powyższe kody ICD-10 choroby płuc stanowią podstawę do właściwej klasyfikacji i dokumentacji przypadków niewydolności oddechowej.
Czym charakteryzuje się ostra niewydolność oddechowa (J96.0)?
Ostra niewydolność oddechowa to stan nagłego pogorszenia funkcji oddechowych. Charakteryzuje się gwałtownym spadkiem saturacji krwi tlenem poniżej 90%. Wymaga natychmiastowej interwencji medycznej i często hospitalizacji.
ICD-10 ARDS obejmuje przypadki ciężkiej niewydolności z obrzękiem płuc. Stan ten może rozwinąć się w ciągu kilku godzin lub dni. Najczęściej występuje jako powikłanie innych chorób.
Kod stosuje się przy nagłym początku objawów, saturacji <90%, potrzebie tlenoterapii lub wentylacji mechanicznej.
- Duszność spoczynkowa
- Sinica centralna
- Tachypnoe >30 oddechów/min
- Spadek saturacji <90%
- Użycie dodatkowych mięśni oddechowych
Czytaj więcej: Kontener na używaną odzież: Lokalizacje i korzyści
Przewlekła niewydolność oddechowa - kod J96.1
Przewlekła niewydolność oddechowa rozwija się stopniowo, często przez wiele miesięcy lub lat. Jest to stan długotrwałego zaburzenia wymiany gazowej w płucach. Najczęściej występuje jako następstwo przewlekłych chorób układu oddechowego. Wymaga systematycznego monitorowania i długoterminowego leczenia.
Diagnostyka opiera się głównie na badaniach gazometrycznych krwi tętniczej. Kluczowe znaczenie ma również spirometria.
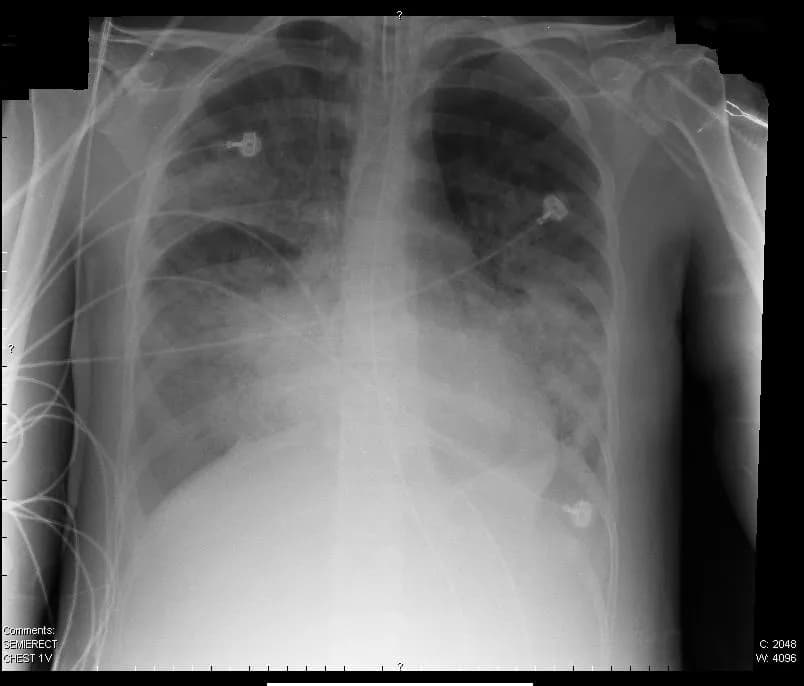
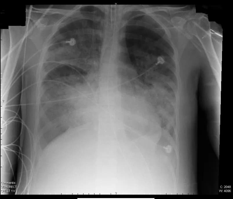
Badania obrazowe, w tym RTG klatki piersiowej i tomografia komputerowa, pomagają określić przyczynę schorzenia.
W dokumentacji medycznej należy uwzględnić wartości gazometrii krwi tętniczej. Istotne jest również opisanie chorób współistniejących. Kod J96.1 wymaga regularnej aktualizacji w dokumentacji.
Rozpoznanie przewlekłej niewydolności oddechowej
Proces diagnostyczny rozpoczyna się od szczegółowego wywiadu z pacjentem. Kluczowe znaczenie mają badania czynnościowe płuc. Ocena gazometryczna krwi tętniczej stanowi złoty standard diagnostyczny.
Monitorowanie saturacji krwi tlenem jest niezbędne do oceny progresji choroby. Regularne pomiary gazometryczne pozwalają dostosować leczenie. Klasyfikacja niewydolności oddechowej ICD wymaga dokładnej dokumentacji wszystkich parametrów.
- PaO2 <60 mmHg
- PaCO2 >45 mmHg
- pH krwi tętniczej
- Saturacja krwi tlenem
Niewydolność oddechowa nieokreślona (J96.9)
Kod J96.9 stosuje się w przypadkach, gdy nie można jednoznacznie określić typu niewydolności oddechowej. Stan pacjenta może wymagać dalszej diagnostyki. Dokumentacja medyczna powinna zawierać uzasadnienie użycia tego kodu.
Niewydolność oddechowa typu 1 kod lub typu 2 nie może być określony przy braku pełnych wyników badań. W takiej sytuacji stosujemy kod J96.9.
Różnicowanie typów niewydolności oddechowej
Typ 1 charakteryzuje się głównie hipoksemią bez hiperkapnii. Typ 2 obejmuje zarówno hipoksemię, jak i hiperkapnię.
Różnicowanie wymaga szczegółowej analizy gazometrycznej. Prawidłowa klasyfikacja ma kluczowe znaczenie dla wyboru metody leczenia.
| Cecha | Typ 1 | Typ 2 |
|---|---|---|
| PaO2 | Obniżone | Obniżone |
| PaCO2 | Prawidłowe lub obniżone | Podwyższone |
| Przyczyny | ARDS, zapalenie płuc | POChP, choroby nerwowo-mięśniowe |
Jak prawidłowo kodować niewydolność oddechową?
Kodowanie wymaga dokładnej analizy wyników badań gazometrycznych. Należy uwzględnić dynamikę rozwoju objawów.
Dokumentacja medyczna musi zawierać uzasadnienie wyboru konkretnego kodu. Istotne jest również uwzględnienie chorób współistniejących.
Najczęstsze błędy dotyczą nieprawidłowego rozróżnienia między ostrą a przewlekłą niewydolnością. Brak odpowiedniej dokumentacji może prowadzić do błędnego kodowania. Kluczowe jest regularne aktualizowanie dokumentacji w przypadku zmiany stanu pacjenta.Dokumentacja medyczna - wskazówki praktyczne
Dokumentacja powinna zawierać wszystkie istotne parametry gazometryczne. Ważne jest systematyczne monitorowanie i zapisywanie zmian w stanie pacjenta. Należy dokładnie opisywać zastosowane metody leczenia.
Regularna weryfikacja kodów ICD-10 jest niezbędna dla zachowania aktualności dokumentacji. Każda zmiana w stanie klinicznym pacjenta wymaga odpowiedniej aktualizacji kodów.
Przed ostatecznym wprowadzeniem kodu należy upewnić się co do kompletności dokumentacji. System kodowania powinien być regularnie audytowany.
Praktyczne zastosowanie kodów ICD-10 w diagnostyce niewydolności oddechowej
Klasyfikacja niewydolności oddechowej ICD opiera się na trzech głównych kodach: J96.0, J96.1 i J96.9. Każdy z nich odpowiada innemu typowi schorzenia, co pozwala na precyzyjne dokumentowanie stanu pacjenta. Prawidłowe rozpoznanie i zakodowanie ma kluczowe znaczenie dla procesu leczenia.
Rozróżnienie między ostrą niewydolnością oddechową (J96.0) a przewlekłą niewydolnością oddechową (J96.1) wymaga dokładnej analizy parametrów gazometrycznych i objawów klinicznych. Diagnostyka powinna być kompleksowa i obejmować zarówno badania laboratoryjne, jak i obrazowe.
Dokumentacja medyczna musi zawierać wszystkie niezbędne parametry i być regularnie aktualizowana. Szczególną uwagę należy zwrócić na prawidłowe różnicowanie typów niewydolności i dokładne uzasadnienie wyboru konkretnego kodu ICD-10. W przypadku wątpliwości diagnostycznych, kod J96.9 pozwala na tymczasowe sklasyfikowanie przypadku do czasu uzyskania pełnych wyników badań.






